Smile Makeovers Before and After
Often we are judged professionally and socially based on our appearance. A beautiful bright smile projects health and youth. It also improves ones self-esteem and confidence. Thanks to advances in modern dental materials and techniques, enhancing smiles is now a reality.
Dr. Muradian has dedicated his practice in Simi Valley to designing and creating the perfect smile for you. Please browse our smile gallery to see actual patients who have benefited from Dr. Muradian’s personal care.


Before
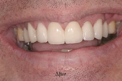
After
Filling the spaces with veneers. Just 2 veneers make a big difference


Before
After
Patient received a new, healthy, and youthful smile with porcelain crowns just in time for her daughter’s wedding.


Before
After
People sometimes are not happy with their smiles, and what we do is a small design. In this case, we improved the patient smile using Porcelain Veneers and Crowns.


Before
After
People sometimes are not happy with their smiles, and what we do is a small design. In this case, we improved the patient smile using Porcelain Veneers and Crowns.


Before
After
Patient was not happy with old veneers that were oversized and keep popping off. Dr. Muradian designed a new smile with 4 upper porcelain crowns and two new porcelain restoration on lower.


Before
After
Citrus in general and Lemons in particular are wonderful nutrients but they can lead to enamel erosion if not buffered with water rinse. Dr. Muradian replaced the worn enamel on the front two teeth with porcelain veneers.


Before
After
Patient presented with worn front teeth with old failing restoration. Using Smile Design process Dr. Muradian delivered a beautiful natural smile with six porcelain crowns.


Before
After
Patient unhappy with crowded anterior upper teeth with unsightly crown. Dr. Muradian designed a new smile with porcelain veneers and crown on four front teeth.


Before
After
Patient had an accident in his childhood that left front tooth very compromised. Dr. Muradian replaced the tooth with implant supported porcelain crown plus porcelain veneers on adjacent teeth for beautiful smile


Before
After
After years of wear on front teeth due to grinding, patient wanted a healthy youthful looking smile. With consideration of patient bite and esthetic desire, Dr. Muradian designed six porcelain veneers that gave patient something to smile about


Before
After
Alexis was unhappy with her old crowns. She wanted a newer brighter smile. Dr. Muradian designed a new smile with porcelain crowns that gave Alexis a beautiful smile.


Before
After
After years of grinding and energy drinks, Jason had worn teeth that made him look a lot older than he was. With Jason input, Dr. Muradian restored Jason to a brighter and youthful smile more appropriate to his age and acting career.


Before
After
Dr. Muradian treated her with a combination of non-metallic porcelain crowns and veneers. Now she has a natural smile.


Before
After
Dr. Muradian's solution was new non-metallic porcelain crowns that not only gave Michael a stunning bright smile but straight teeth as well.


Before
After
Patient had moderate staining and decay front teeth. Also they were slightly crowded. She received six porcelain veneers that not only brighten her smile but straighten her teeth producing a beautiful new smile.


Before
After
After several years of wearing a retainer as a replacement of a tooth that never came in, this patient decided on a stable treatment- a three unit esthetic fixed bridge plus a veneer for a new smile.


Before
After
Patient had crowded front teeth and did not want braces or invislign. Dr. Muradian designed a new smile using four porcelain veneers that look and feel natural.


Before
After
